Přejít k hlavnímu obsahu
Zpět na článek

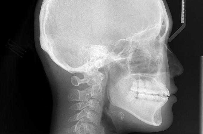
Jak spravit poškozenou lebku? Napěstováním kmenových buněk!