Tonoucí se stébla chytá: Léčba rakoviny experimentální vakcínou z garáže
Ve chvíli, kdy se váš zbývající život začne počítat na pouhé dny, nemáte čas na složité klinické studie a rozsáhlé testování preparátů. V takové chvíli jste ochotní riskovat i velmi neortodoxní metody

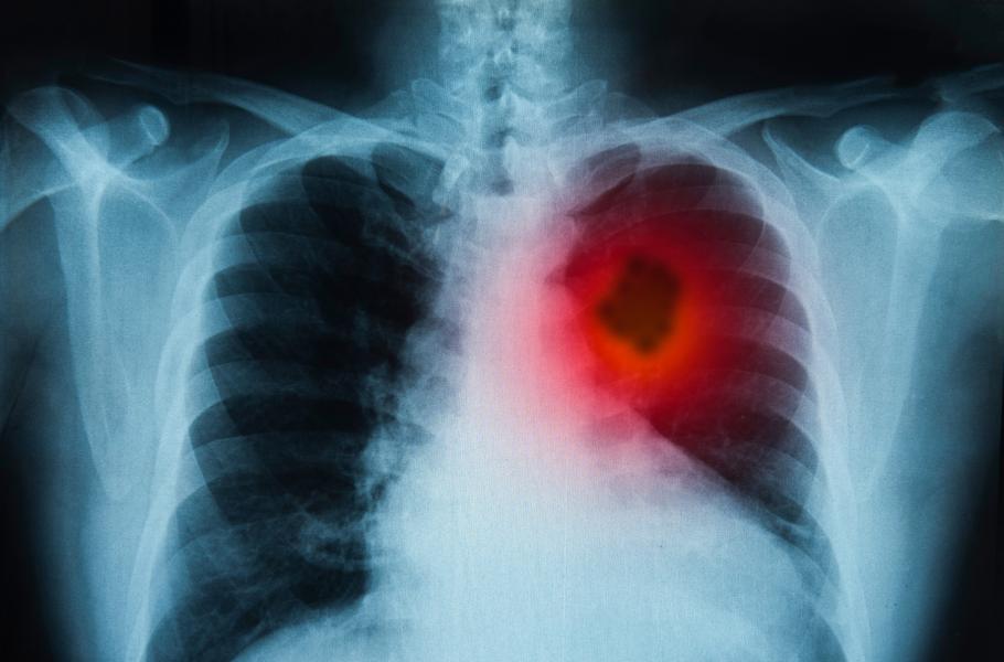
Rakovinu plic je možné léčit podle typu nádoru chirurgicky, chemoterapií či radioterapií .
„Ten člověk v Číně měl stejně agresivní typ zhoubného nádoru plic jako ty,“ vysvětluje Jo svému švagrovi Vladovi. „Bylo mu pětaosmdesát. Dostal experimentální vakcínu a nádory v jeho plicích se začaly rychle zmenšovat!“ „A co já s tím?“ vzdychne Vlad. „Je to experimentální vakcína. A někde v Číně. Jak bychom se k ní dostali.“ „Seženeme ji, neboj se,“ prohlásí rezolutně Vladova manželka Elen. „Necháme si ji udělat.“
Vlad prodělal všechny dostupné typy léčby. Podrobil se chemoterapii i ozařování. Jeho nádory však měly tuhý kořínek a vzdorovaly všemu. Lékaři přiznali, že vyčerpali poslední možnosti. Pro Vlada už mohou udělat jediné – zajistit mu důstojné umírání s co nejmenším utrpením.
Tonoucí se stébla chytá
Pro Joa, Elen a Vlada představovala poslední šanci vakcína tvořená bílkovinou produkovanou nádorovými buňkami. Pokud by se podařilo podat Vladovi bílkovinu tak, aby její přítomnost zaznamenal jeho imunitní systém, mohlo by se pacientovo tělo začít proti zhoubnému nádoru bránit. Zničilo by některé nádorové buňky a jejich obsah by se vylil. Tím se buňkám imunitního systému zpřístupní další molekuly typické pro Vladův nádor a bílé krvinky na rakovinu zaútočí v druhém sledu.
Pronájem slušně zařízené laboratoře vyjde na pár tisíc dolarů. Další potřebné věci nakoupili v obchodech nebo sehnali přes internet. Jenže ani Vlad, ani Elen či Jo nejsou experti ve výrobě vakcín. Bylo jim jasné, že potřebují pomoc odborníka. Obrátili se na specialisty a všude dostali stejnou odpověď: „Ano, je to proveditelné. Šance na úspěch jsou sice malé, ale nelze to vyloučit. Je mi líto, že nemám na spolupráci s vámi čas ani kapacitu. Prostě nemohu.“
Na pokraji sil
Vladovi bylo stále hůř. Nádorové buňky pronikly do mozku a ochromily ho. Jo a Elen už nemohli dál čekat. Nakoupili vše potřebné, pronajmuli laboratoř a jako laici se pokusili připravit vakcínu. „Není to jednoduché a neříkám, že to může dělat kdokoli. Ale zase to není nějaká kosmická věda,“ říká Jo. „Když opravdu chcete, tak to zvládnete.“
TIP: Nová strategie: Viry jako zbraň proti mozkovým nádorům
První injekce píchali Vladovi se strachem z nežádoucích vedlejších účinků. Když se pacientův stav nezhoršil, odechli si a pokračovali s injekcemi vakcíny v týdenních intervalech. Pomůže to? Vlad, Jo i Elen si nedělali iluze, ale chtěli zkusit poslední, byť jen mizivou naději.
Nezvratný osud
Navzdory odvážnému kroku jeho nejbližších Vlad v listopadu roku 2017 zemřel. Pomohla by vakcína, kdyby ji Vladovi byli opatřili dřív? Odborníci jsou skeptičtí a varují všechny, kdo by chtěli Vladův pokus o záchranu napodobit.
Na koleně vyrobená vakcína může být nebezpečná a může pacientův zdravotní stav výrazně zhoršit. V krajním případě ho může dokonce zabít. Jenže vykládejte to člověku, který se dívá smrti zblízka do očí, a argumentujte tím jeho nejbližším.