Přejít k hlavnímu obsahu
Zpět na článek

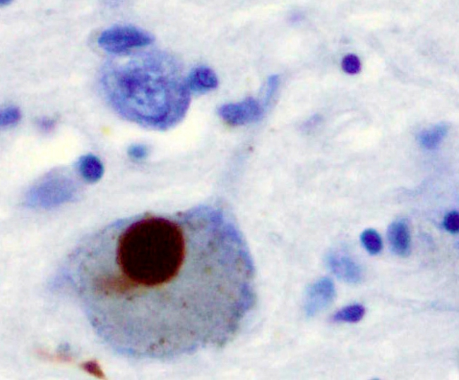
Převratný test na Parkinsona umožní včasnou detekci této choroby

0/1
  • Zdroj: